治療について【2】

- 審美歯科について
「審美歯科」かつて芸能人や一部の裕福な人だけの特殊な治療法と思われてきましたが、今やいろいろな治療方法が確立されて比較的短期的にかつお手軽な治療費用で無痛的に美しい素敵なSmileになれるようになってきました。

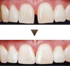
ホワイトニング
笑顔で楽しく会話を楽しまれていますか?
笑顔はその人のイメージを反映させる重要な要素です。
どんな”飾った言葉”より”素敵な笑顔”は印象的です。
「歯の色が黄ばんでいて自信がなくって・・・」
「お茶やタバコの色で歯の汚れが気になって・・・」
そのような、お悩みをお持ちの方に当院ではホームホワイトニングやオフィスホワイトニングといった二つの方法で白く健康的な歯になるお手伝いをさせていただいております。
笑顔で楽しく会話を楽しまれていますか?
笑顔はその人のイメージを反映させる重要な要素です。
どんな”飾った言葉”より”素敵な笑顔”は印象的です。
「歯の色が黄ばんでいて自信がなくって・・・」
「お茶やタバコの色で歯の汚れが気になって・・・」
そのような、お悩みをお持ちの方に当院ではホームホワイトニングやオフィスホワイトニングといった二つの方法で白く健康的な歯になるお手伝いをさせていただいております。
◆ホワイトニングについて詳しくはコチラ◆
インフォームドコンセントとは
これからどういった治療がされるのか、その治療によってどんな効果が得られるのか、どれくらいの治療期間がかかるのか…今まで、患者様は疑問や不安を抱えたまま治療が進められてきました。
歯 科に対しての不信感や不安を取り払い、安心して治療に臨んでもらえるよう、私たちは患者様に対して、治療方法・期間・危険性・治療後の効果・費用などにつ いて事前に十分な説明を行い、双方納得の上で治療を始めるインフォームドコンセントを推進しています。 事前説明の治療内容に対して不満や疑問があれば医師に相談していただき、患者様に最適な方法をご提案いたします。
これからどういった治療がされるのか、その治療によってどんな効果が得られるのか、どれくらいの治療期間がかかるのか…今まで、患者様は疑問や不安を抱えたまま治療が進められてきました。
歯 科に対しての不信感や不安を取り払い、安心して治療に臨んでもらえるよう、私たちは患者様に対して、治療方法・期間・危険性・治療後の効果・費用などにつ いて事前に十分な説明を行い、双方納得の上で治療を始めるインフォームドコンセントを推進しています。 事前説明の治療内容に対して不満や疑問があれば医師に相談していただき、患者様に最適な方法をご提案いたします。
※消費税率変更に伴い、表示価格が実際の価格と異なる場合があります。
[作成日:2013年08月20日 / 更新日: 2013年08月20日]











